Is the postmenopausal growing increasingly larger belly a sign of pregnancy?
Sources:
Release time:
2022-01-22 Browse:
1841
A case of a huge ovarian tumor excision has been successfully performed in our hospital
On January 14, the OB-GYN team of doctors of Wuxi Kaiyi Hospital succeeded in excising a huge ovarian tumor for Ms. T, a patient aged 60. During the operation, the tumor was found to be 208x187x172mm weighing 2.775kg and diagnosed as theca cell tumor. The operation lasted for three hours uneventfully with favorable prognosis in the patient.

△The removed huge tumor weighed as much as 2,775kg
Owing to the enormous pelvic space-occupying tumor, the operation was demanding.
Ms. T, aged 60 this year, received gynecological examinations two years ago in two hospitals with the finding of pelvic masses, which were then considered as hysteromyoma with a size of around 11.5*9*10cm. Since she was a diabetic patient in menopause, and the myoma would shrink gradually, she did not choose immediate operation. However, in this year, she was feeling growing increasingly larger abdominal masses, hypogastralgia and urine frequency, which affected seriously her normal life. Noticing her abnormality, her family went to Wuxi Kaiyi Hospital to seek medical advice with her immediately. When she arrived, her abdominal bulging was so serious that she seemed to be a woman in pregnancy of eight or nine months.

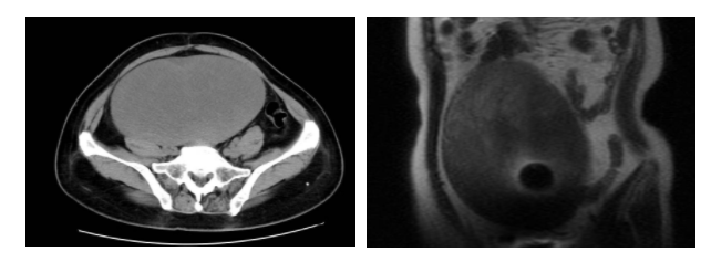
After her admission in the hospital, she underwent ultrasonic inspection, CT, MRI and other examinations with the following findings: a giant quasi-circular soft tissue mass shadow was present in the abdominal pelvic cavity with uneven internal density, the surrounding soft tissues were compressed and displaced, and there were small amounts of ascites in abdominal cavity. Her symptom inclined to be ovarian tumor.

The medical imaging results show that the enormous tumor occupied 80% of the abdominal cavity.
△Consultation by a multidisciplinary team

Considering that the patient was a veteran patient with type II diabetes, the tumor was complicated in nature, the patient’s masses grew fast and were large in size, and that the possibility of a malignancy could not be excluded, the operation would be demanding and high-risk. Dr. Hongxiu Han, Chief of OB-GYN immediately started the MDT (multidisciplinary team) consultation procedure, and organized a consultation among experts from Anesthesiology, Cardiology, Surgery, ICU, Emergency, Blood Bank, Pathology, Medical Imaging, Functional Inspection and other departments to analyze the source, nature and therapeutic regimen of the tumor.
The difficulty of the operation lied in the necessary removal of the entire tumor using large incision to maintain its completeness. While the huge tumor was taken out from the abdominal cavity all of a sudden, the pressure inside the abdominal cavity would undergo abrupt change causing unsteady hemodynamics, and Ms. T as a diabetic patient, would experience ketosis or ketoacidosis induced by the huge wounds.
Therefore, after full communication on the patient’s condition and operative risk between the expert team of Kaiyi Hospital and Ms. T and her family, Ms. T accepted the decision of not being transferred to a hospital of higher lever, fully confiding in our hospital, showing faith in the medical skill of Dr. Han and the comprehensive power of Kaiyi Hospital, and giving full support to our treatment! Based on the patient’s condition, our hospital made an operative scheme and a risk emergency plan.

△Dr. Hongxiu Han during the operation
On January 14, after completing the relevant preoperative examinations and preparations, acting as operating surgeon, Dr. Han performed the resection of a huge tumor from the abdominal and pelvic cavity under general anesthesia. Adhered and fixed to the surrounding tissues, the huge pelvic masses were located in a deep place. Cooperating jointly, experts from Gynecology, Surgery and Anesthesiology acted calmly and finally succeeded in removing the tumor masses, which were later submitted for frozen pathological examination with the result reported as theca cell tumor. After the hysterectomy and bilateral uterine adnexectomy, the operation ended smoothly.

△Removal of the huge tumor
Learning that the operation was successful, Ms. T’s family waiting outside the operating room could not help bursting into tears, expressing special thanks to the experts of Kaiyi Hospital for giving a second life to her!
“We have consulted several large hospitals, but finally we chose Kaiyi Hospital because Dr. Han is trustworthy as an expert in gynecology with her excellent medical skill, and Kaiyi Hospital is trustable for its power, too.” Ms. T’s family said, feelingly.
Menopausal women still need to receive periodic physical examinations

△Ward inspection by OB-GYN team led by Dr. Han
This medical case of illness is worthy of the attention among the whole society since many women hold the wrong view that in menopause, they will not suffer from gynecological diseases thus weakening their awareness of gynecological health. However, as a matter of fact, menopausal women are still a group of people at high risk of gynecology malignant tumors.

△External estrogen exerts stimulative effect on gynecological tumors
In the habit of paying great attention to conserving her health, Ms. T takes all kinds of tonics all the year around. Due to the close relationship between the growth of gynecological tumor and the change in internal estrogen level, the so-called tonics contain a certain amount of estrogen, so taking tonics blindly may lead to the too high estrogen level triggering related diseases. Therefore, it is recommended that tonics, health products and so on be taken after consulting a

△Ms. T took seven to eight kinds of health products every day
The Department of OB-GYN, Wuxi Kaiyi Hospital herein would like to remind you that women must be sure to keep in mind that regular physical examination is indispensable for the purpose of early detection of diseases and prompt treatment of diseases. In case of abdominal discomfort, abdominal bulge, menstrual disorder and other abnormal gynecological symptoms, do receive a prompt physical examination in the hospital lest the indisposition evolve as a serious disease.
A star department gathering experts

△Kaiyi’s OB-GYN team
The OB-GYN ward of Wuxi Kaiyi Hospital provides 40 beds, 3 VIP wards, and 3 VIP labor and birth rooms currently. The outpatient clinic has a family planning room, a colposcopy room, an OB-GYN ultrasound room, a maternity education school. There are specialist clinics for high-risk obstetrics, early pregnancy preservation, infertility, gynecological oncology, gynecological endocrinology, etc. Diagnosis and treatment are available for all kinds of cervical diseases and gynecological endocrine diseases, operations for family planning, and gynecological laparoscopic minimally invasive surgeries. As an international hospital, it also provides medical operative services to commercial insured patients with foreign nationalities in the meantime.